During COVID-19, Wooddell and Passaro Restorative and Esthetic Dentistry has been keeping with ADA recommendations and staying closed aside from emergency services. But how do you know if you’re experiencing a dental emergency and what should you do? Dr. James B. Wooddell and Dr. Joseph Passaro, dentists in Annapolis, MD, discuss common emergencies and tips to help.
Taking On a Dental Emergency
If you’re experiencing a dental emergency, call us immediately. We want to make sure you get into the office and are seen as soon as possible. Below is a list of common dental emergencies and what you can do until you’re seen in the office:
Severe Tooth Pain
Pain in your tooth isn’t something that you should brush aside. Tooth pain can be caused by a wide variety of conditions. These include extreme tooth decay, an abscess, or an infection. With many of these conditions, you can’t diagnose which it is until a dentist examines it. Use over the counter pain medications to help ease your pain and a cold compress if you experience any swelling.
Knocked-Out Tooth
An adult tooth getting knocked out tends to make people panic. However, it’s important to stay calm and retrieve your tooth from wherever it is. Be sure not to touch the tooth root and only pick it up by the crown. Gently rinse off any dirt or debris that’s on the tooth. Place it in a cup of milk or your own saliva to preserve the tooth longer. Never try to put the tooth back in by yourself.
Bring the tooth with you to your appointment. One of our dentists will analyze it and determine if it’s viable for replacement. But you don’t need to worry if it isn’t. Our office provides multiple methods of replacing missing teeth. In particular, our dentists recommend dental implants. They’re often considered the best form of tooth replacement. They’re more stable than other options and look and feel the most natural in your mouth.
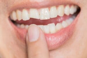
Chipped, Broken, or Cracked Tooth
If you’re lucky, a chipped tooth will be nothing but a cosmetic issue. This is easily fixed with some dental bonding and isn’t considered an emergency. Usually, you don’t have any pain or trouble with it. However, if it’s more severe, that’s when it becomes a problem. A severe chip or break can expose the tooth pulp and nerves, causing severe pain.
A bad crack also exposes the interior of your tooth. This allows bacteria to get inside the dental pulp, possibly leading to a need for a root canal. For any severe crack or break, a lot of dental bonding may be used. Porcelain veneers and dental crowns can be used as well.
Your Dentist in Annapolis, Maryland
If you have a dental emergency, please call us immediately. In addition, we’ll be here for you for dental care after the pandemic. Call us or schedule an appointment online for the future.