Address: 3102 Davidsonville Road Davidsonville, MD 21035

New Patients: (410) 343-7075​

Current Patients: (410) 956-5555
Untitled design (24)Untitled design (25)

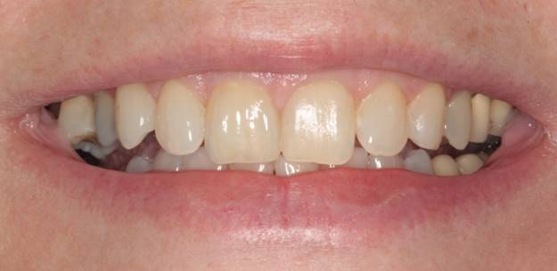
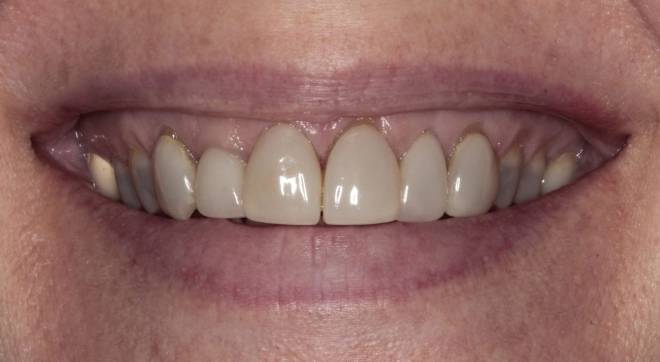
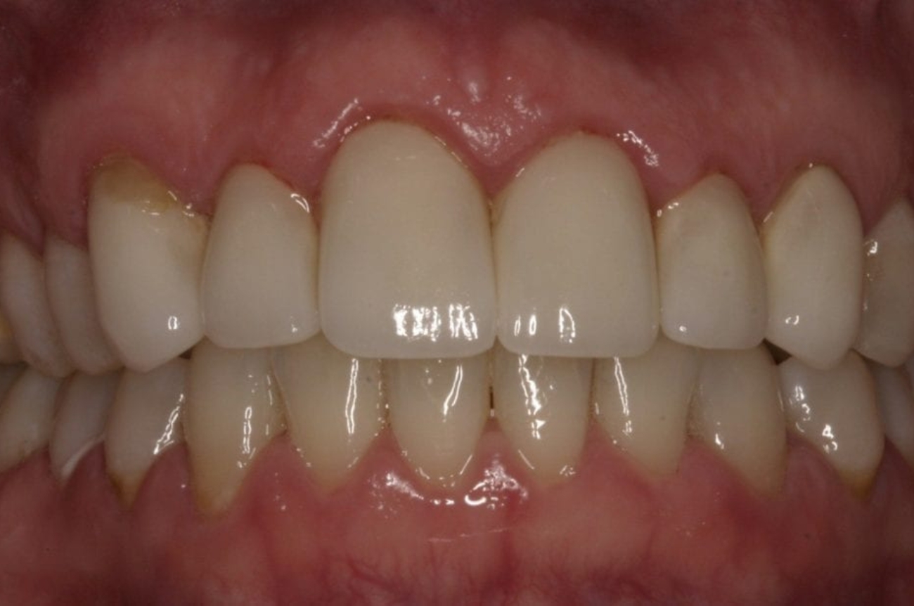
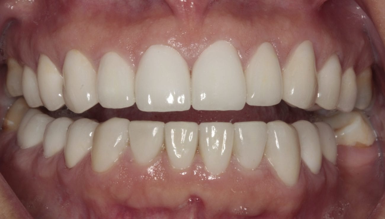
Laurie

Challenge

Laurie presented desiring to replace her existing maxillary crowns and at the same time improve the appearance of her smile. She refused orthodontics.

Crown lengthening was performed on teeth #’s 3-14, and then provisional restorations were fabricated. Definitive crowns were delivered for teeth #’s 3-14 and veneers were fabricated for teeth #’s 23-26. The rest of the teeth were bleached.

case-8-before-Severe-Acid-Erosion-of-Maxillary-Teethcase-7-after-Severe-Acid-Erosion-of-Maxillary-Teeth

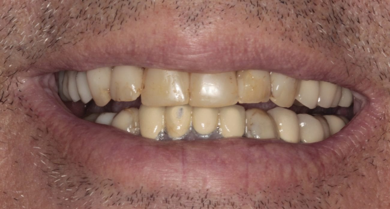
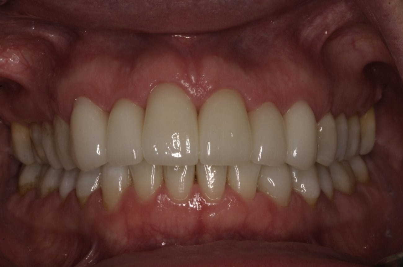
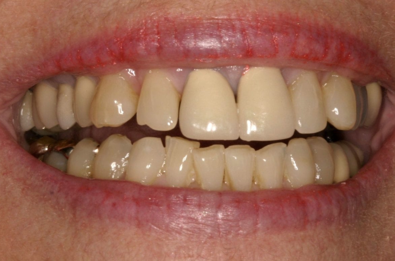
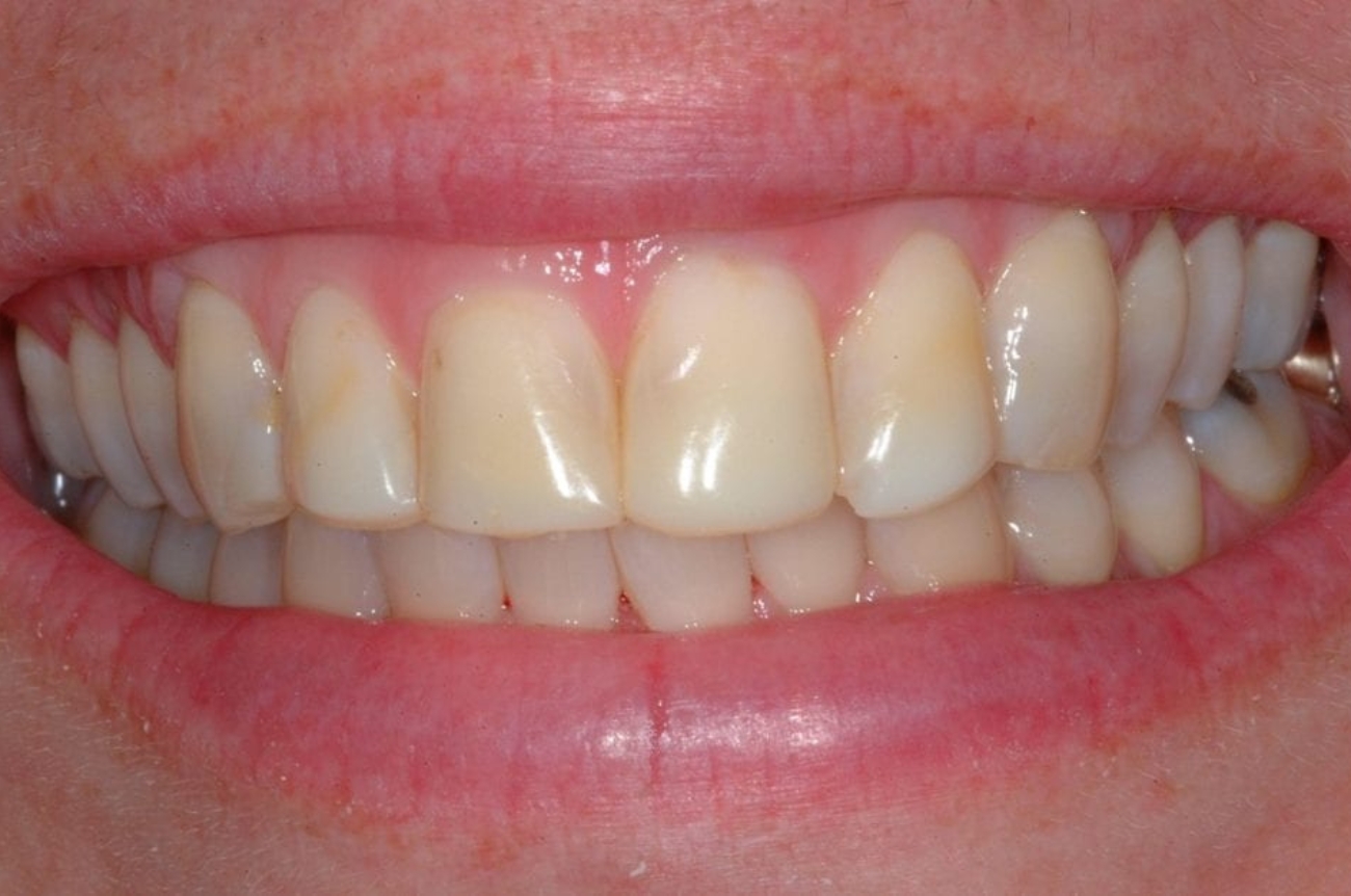
Kathy

Challenge

Kathy presented with severe acid erosion of her maxillary teeth. She desired normal tooth proportions and she hated her gummy smile.

Crown lengthening of all of her maxillary teeth was performed and teeth #’s 3-14 were restored. Her bite was opened to gain the restorative space in the anterior. Her mandibular teeth were bleached.

AnnAnn (1)

Anne

Challenge

Ann, a 64 year old female presented with worn and shifting teeth. Her desire was to have a more pleasant, full smile.

After comprehensive evaluation it was determined that orthodontic repositioning would be utilized to optimize anterior tooth proportion and periodontal crown lengthening would be used in the posterior.

The patient wore Invisalign trays to align the gingiva and optimize anterior relations. Full mouth crown extension was performed by the periodontist. Full mouth reconstruction with implant #18.

case-12-before-Microdontia (1)case-12-after-Microdontia (1)

Nick

Challenge

Nick, a 19 year old male, presented with microdontia and a chief complaint of limited to no display of maxillary teeth. 

We whitened his teeth using the Kor Whitening system and placed veneers on #’s 4-13.

case-11-trauama-before (1)case-11-after-trauma (1)

Chloe

Challenge

Chloe, an 18 year old female patient fell and hit her teeth on the sidewalk. Patient brought in photos of her smile for reference. 

A stone model was made for a wax up to construct a matrix for placing direct composites utilizing the Newton Fahl layering technique on #’s 8 and 9.

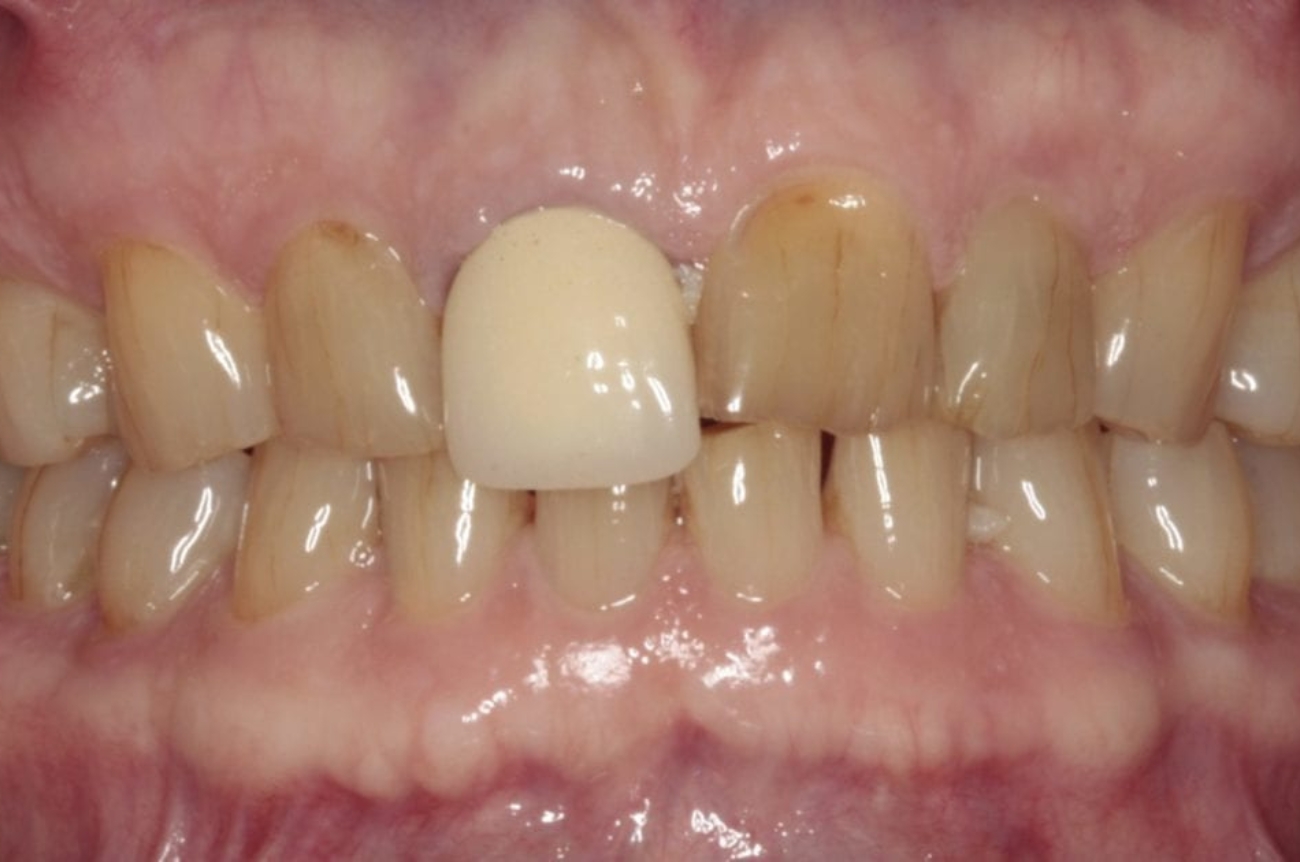
case-10-before-Orthodontic-Correction-Single-Tooth-Implantcase-10-after-Orthodontic-Correction-Single-Tooth-Implant

Jeanette

Challenge

Jeanette, a 65 year old female patient of record presented with throbbing pain with draining fistula #8. CT scan showed apical resorption and palatal abscess. Understanding that an implant was recommended, we discussed her anterior esthetics. The patient expressed a desire to correct her tooth position for a more attractive presentation. 

It was decided to perform orthodontic repositioning prior to implant placement in order to ensure proper gingival and dental symmetry.

before-16 (1)rename (1)

Tom W.

A beautiful smile makeover. 

Sandy (1)after-9

Sandy

Full mouth reconstruction with porcelain veneers.

before-2-2-1after-13

Dan S.

“I feel like I’ve received the best care and results that are available in dentistry…and the look and confidence that I have when I open my mouth is only half of the story!”

Tammyafter-8

Tammy

Transformation with smile makeover. 

before-15Untitled design (22)

Tom W.

Amazing smile transformation results.

John (1)John

John M.

Natural-looking results.

before-13after-11

Gail

“This has been nothing short of life-altering. Today I smile, and even speak, with new-found confidence. My teeth look great. They feel great. I am a very happy and most grateful patient.”

JosieJosie (1)

Josie

“As a patient and an employee, I have seen exactly how much hard work is put into each individual smile. Dr. Woody and Dr. Joe have a true passion for dentistry.”

RhondaRhonda (1)

Rhonda

“Dr Woody is a talented, caring and confident dentist, but I like to think of him as an artist who molded my smile into a work of art that is uniquely me!”

before-3-1Untitled design (23)

Sharing A Smile

“When I talked, I covered my mouth. When I smiled, I closed my lips. My restoration gave me back my smile – actually it gave me a much better smile than I had ever had. Along with that new smile came a projection of confidence that had been hidden – and the joy of sharing my smile once again!”

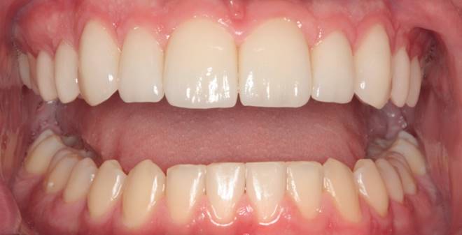
Untitled design (24)Untitled design (25)

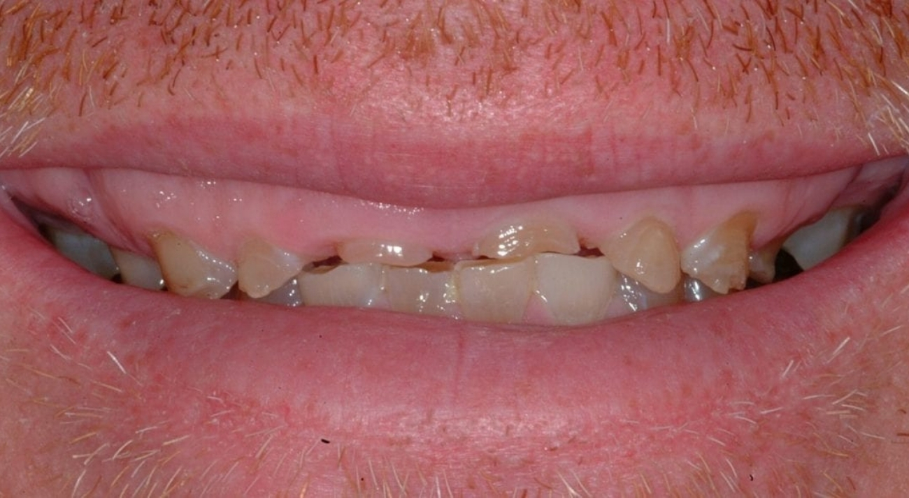
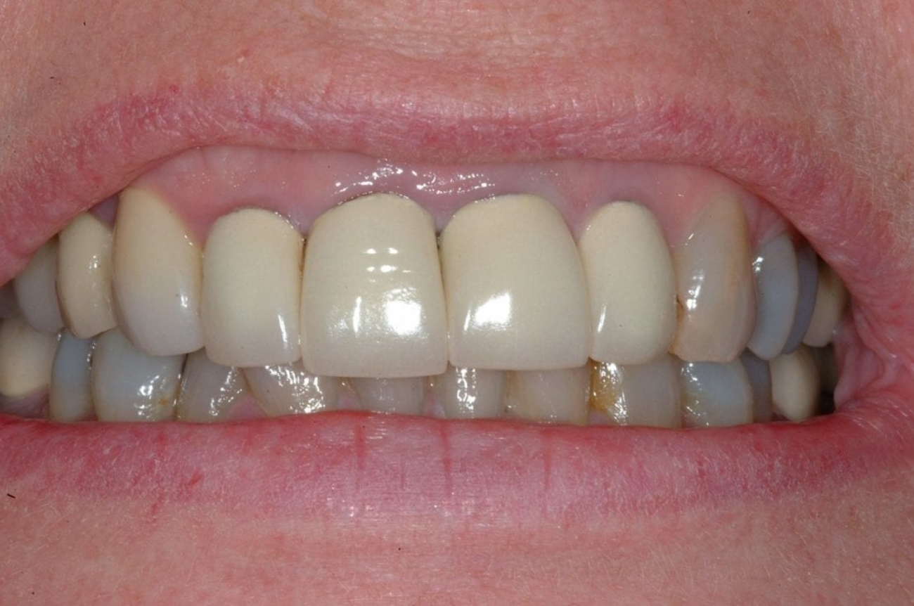
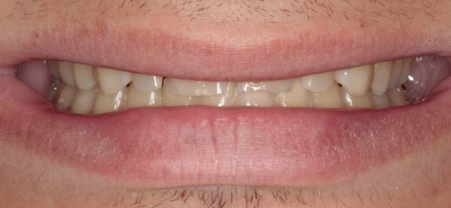
Restoring After Erosion

Advanced wear and acid erosion involving all remaining teeth. Shifting of the remaining teeth resulted in the growth of bone that houses the teeth, subsequently when the teeth were brought together, the gums of the upper arch almost touched the lower arch. The teeth had short roots due to previous history of orthodontics.

Untitled design (27)Untitled design (26)

Linda

“I actually found Dr. Joe in the yellow pages after suffering from a dental emergency. Believe it or not, that was my lucky day. Once visiting with Dr. Joe and his team, I was completely hooked. They were patient, kind and completely understanding. After getting through my dental emergency, Dr. Joe worked diligently to transform my smile. I now get compliments from others on what a beautiful smile I have. I owe all my thanks to Dr. Joe and his great team!”

Untitled design (29)Untitled design (28)

Lisa

“What I can say about Dr. Joe- Unparalleled attention to detail resulting into a magnificent natural looking smile! He and his staff are an absolute pleasure to be around!”

Untitled design (31)Untitled design (30)

Frank

“Dependable, exceptional, and professional – Dr. Woody and his team are tops.”

MicheleMichele (1)

Michele

Linda (1)Linda

Linda

CyndeeCyndee (1)

Cyndee

JimJim (1)

Jim G.

PamPam (1)

Pam

before-2before (1)

Rick

Full-Smile-beforeFull-Smile-After

Gerry

before-7after-6

Karen

before-6after-5

Tammi

Case-5-Before-Maxillary-Anterior-Teeth-Severe-WearCase-5-after-Maxillary-Anterior-Teeth-Severe-Wear

Orthodontics & Bleaching With Veneers

This patient presented with severe wear of her maxillary anterior teeth. Orthodontics was utilized to align the gingival levels as well as to allow room for the definitive restorations. After orthodontics, bleaching was performed and teeth #’s 7-10 were prepared for porcelain veneers.

case-2-Interdisciplinary-Team-beforecase-2-Interdisciplinary-Team-after

Restoration & Periodontitis Treatment

Worn teeth with an edge to edge occlusion, anterior crossbite, lack of canine guidance due to early loss of #6, periodontitis and localized recession.

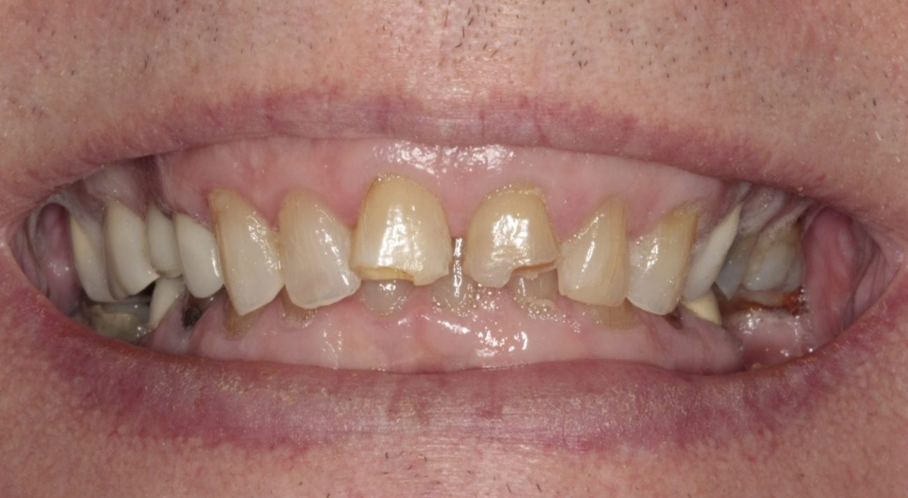
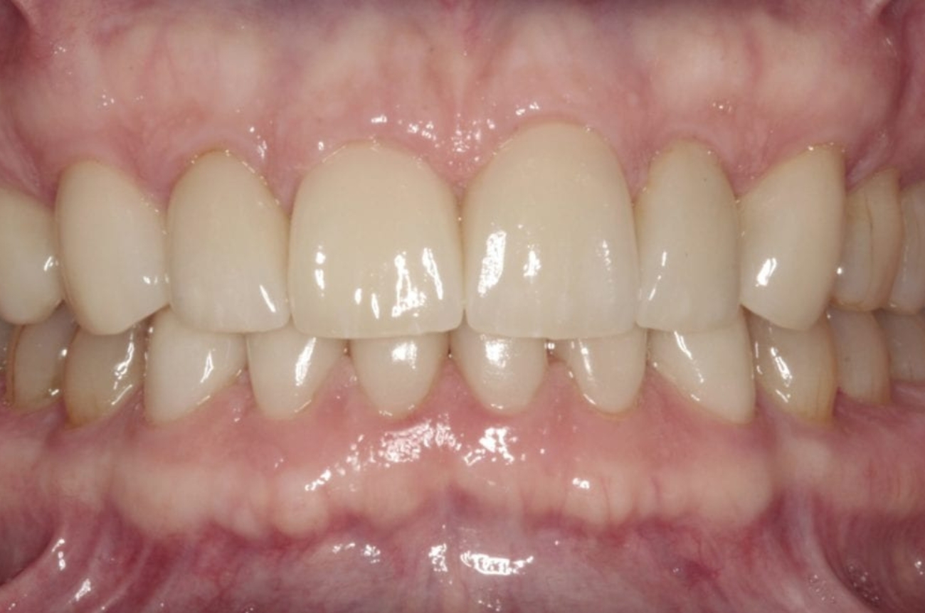
case-8-before-Severe-Acid-Erosion-of-Maxillary-Teethcase-7-after-Severe-Acid-Erosion-of-Maxillary-Teeth

Kathy

Kathy presented with severe acid erosion of her maxillary teeth. She desired normal tooth proportions and she hated her gummy smile. Crown lengthening of all of her maxillary teeth was performed and teeth #’s 3-14 were restored. Her bite was opened to gain the restorative space in the anterior. Her mandibular teeth were bleached.